閲覧数:2,570
妊娠5w6d 大量の出血について
ゆー
体外受精にて陽性。本日BT22
5w6dの本日、大量の出血と下腹部痛(生理痛のような痛み)がありました。
昨夜寝る前からお腹が痛く、朝も生理痛の様な痛みがあり、朝からホッカイロをお腹につけて過ごしていました。
日中お腹がさらに痛くなりトイレへ行くと、便器にどばっと出血し、ペーパーで拭いても拭いても止まらない、その後ナプキンは2回ほど出血でパンパンのため交換しました。
1番出血が多かったタイミングで下腹部痛も1番強く、生理痛より強い痛みでした。
2時間ほど職場で安静にし、いつものクリニックを受診。
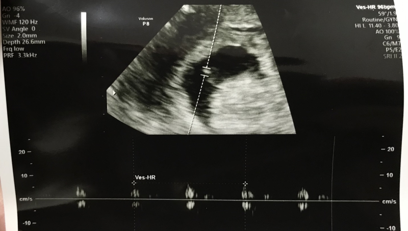
昨日5w5dも胎嚢確認で受診しており、胎嚢が23.6㎜心拍見えずでした。卵黄嚢見えず
本日エコーをすると、CRL(胎芽?)が3.4㎜で卵黄嚢はっきり確認。心拍もわずかに確認出来ました。
エコーでは子宮には出血が確認できない。 今は出血があったり、流産しても染色体異常で出来ることはない。次は10日後に、とだけ言われました。
あんなに出血があったのに、血腫がある訳でもなく、出血の痕跡もエコーで見られないなどあり得るのでしょうか、、、?
一体どこからの出血で、、流産の兆候で内膜が剥がれたりなどもあるのでしょうか?
以前も4w5dで出血しましたが、前回はペーパーにつく程度の水と血を混ぜたような出血でした。
今回はびっくりするくらいの鮮血で量が多くとても不安です。
ずっと続いている生理痛のような痛みも気になります。
なお、ホルモン補充周期での移植の為、膣剤を8時間毎に入れていますが、最近は入口でつっかかる様な感じで中々スムーズに入れられず、挿入時に痛みが毎回あります。これも出血の原因なのか?と色々考えてしまいます💦
ネットで調べると、出血が増えると流産の兆候や、進行流産などばかりヒットし、不安で眠れません。
卵黄嚢、胎芽、心拍なども本日確認でき順調とは言われましたが、 流産が始まっているのではと、気が気ではないです。
次回の受診日もまだまだ先で、病院の先生は詳しい回答をくれない為、少しでも不安を払拭出来ればと思いご相談致しました。
まだ 出血に動揺しており、つたない長文で申し訳ございません。
初期の出血で、血腫がなくても大量出血のケースはあるのか。
膣剤の挿入で大量に出血することもあるのか。
妊娠初期の生理痛の様な痛み、併せての出血は流産の兆候なのか、など可能な範囲で回答頂けると幸いです。
よろしくお願い致します。
5w6dの本日、大量の出血と下腹部痛(生理痛のような痛み)がありました。
昨夜寝る前からお腹が痛く、朝も生理痛の様な痛みがあり、朝からホッカイロをお腹につけて過ごしていました。
日中お腹がさらに痛くなりトイレへ行くと、便器にどばっと出血し、ペーパーで拭いても拭いても止まらない、その後ナプキンは2回ほど出血でパンパンのため交換しました。
1番出血が多かったタイミングで下腹部痛も1番強く、生理痛より強い痛みでした。
2時間ほど職場で安静にし、いつものクリニックを受診。
昨日5w5dも胎嚢確認で受診しており、胎嚢が23.6㎜心拍見えずでした。卵黄嚢見えず
本日エコーをすると、CRL(胎芽?)が3.4㎜で卵黄嚢はっきり確認。心拍もわずかに確認出来ました。
エコーでは子宮には出血が確認できない。 今は出血があったり、流産しても染色体異常で出来ることはない。次は10日後に、とだけ言われました。
あんなに出血があったのに、血腫がある訳でもなく、出血の痕跡もエコーで見られないなどあり得るのでしょうか、、、?
一体どこからの出血で、、流産の兆候で内膜が剥がれたりなどもあるのでしょうか?
以前も4w5dで出血しましたが、前回はペーパーにつく程度の水と血を混ぜたような出血でした。
今回はびっくりするくらいの鮮血で量が多くとても不安です。
ずっと続いている生理痛のような痛みも気になります。
なお、ホルモン補充周期での移植の為、膣剤を8時間毎に入れていますが、最近は入口でつっかかる様な感じで中々スムーズに入れられず、挿入時に痛みが毎回あります。これも出血の原因なのか?と色々考えてしまいます💦
ネットで調べると、出血が増えると流産の兆候や、進行流産などばかりヒットし、不安で眠れません。
卵黄嚢、胎芽、心拍なども本日確認でき順調とは言われましたが、 流産が始まっているのではと、気が気ではないです。
次回の受診日もまだまだ先で、病院の先生は詳しい回答をくれない為、少しでも不安を払拭出来ればと思いご相談致しました。
まだ 出血に動揺しており、つたない長文で申し訳ございません。
初期の出血で、血腫がなくても大量出血のケースはあるのか。
膣剤の挿入で大量に出血することもあるのか。
妊娠初期の生理痛の様な痛み、併せての出血は流産の兆候なのか、など可能な範囲で回答頂けると幸いです。
よろしくお願い致します。
※ 閲覧に注意が必要な画像が含まれている場合がございます。
2024/6/12 23:50
ゆーさん、こんにちは
助産師の宮川です。
ご相談をどうもありがとうございます。
出血についてですね。
大量に出血をされていたということで、生理痛のような痛みもあったのですね。
とてもご不安になられると思います。
痛みや出血が見られていても、赤ちゃんはちゃんと赤ちゃんのペースで大きくなってくれているのですね。
心拍も確認できたということで、ほっとされていると思います。
エコー上、特に出血の跡などもないということで、妊娠中に原因がわからない出血が見られることがあります。
どこからの出血になるのかわからないのですが、妊娠中はホルモンの影響もあり、少しの刺激でも出血をしやすくなることがあります。
粘膜がとても傷つきやすい状況になっていて、そこに膣上を入れることで、刺激になっていることももしかするとあるかもしれませんね。
はっきりとしたお返事ができず、申し訳ありません。
妊娠初期には、ちくちくしたような痛みが起こることは珍しくありません。生理痛のような痛みを感じられることもあります。
出血があることで、流産の兆候とされることもありますが、エコー上でそのような所見が見られていないということなので、診察をされていた時点では流産は否定的だということになるのかなと思いました。
今後まだどうなっていくのはわからないこともあるとは思うのですが、確かに今赤ちゃんはお腹の中にいてくれているので、引き続き声をかけていただいたり、足元から冷え対策をしていただけるといいのかなと思いますよ。
よかったら参考になさってみてください。
どうぞよろしくお願いします。
助産師の宮川です。
ご相談をどうもありがとうございます。
出血についてですね。
大量に出血をされていたということで、生理痛のような痛みもあったのですね。
とてもご不安になられると思います。
痛みや出血が見られていても、赤ちゃんはちゃんと赤ちゃんのペースで大きくなってくれているのですね。
心拍も確認できたということで、ほっとされていると思います。
エコー上、特に出血の跡などもないということで、妊娠中に原因がわからない出血が見られることがあります。
どこからの出血になるのかわからないのですが、妊娠中はホルモンの影響もあり、少しの刺激でも出血をしやすくなることがあります。
粘膜がとても傷つきやすい状況になっていて、そこに膣上を入れることで、刺激になっていることももしかするとあるかもしれませんね。
はっきりとしたお返事ができず、申し訳ありません。
妊娠初期には、ちくちくしたような痛みが起こることは珍しくありません。生理痛のような痛みを感じられることもあります。
出血があることで、流産の兆候とされることもありますが、エコー上でそのような所見が見られていないということなので、診察をされていた時点では流産は否定的だということになるのかなと思いました。
今後まだどうなっていくのはわからないこともあるとは思うのですが、確かに今赤ちゃんはお腹の中にいてくれているので、引き続き声をかけていただいたり、足元から冷え対策をしていただけるといいのかなと思いますよ。
よかったら参考になさってみてください。
どうぞよろしくお願いします。
2024/6/13 13:45
ゆー
妊娠6週
ご丁寧にありがとうございました。
少し安心出来ました。
今は赤ちゃんを信じて、次回の受診日までゆっくり過ごそうと思います。
少し安心出来ました。
今は赤ちゃんを信じて、次回の受診日までゆっくり過ごそうと思います。
2024/6/13 16:46
相談はこちら
妊娠5週の注目相談
妊娠6週の注目相談
妊娠中の体調の注目相談
相談はこちら