閲覧数:4,031
これは何を計られてるんでしょうか?
あやふ
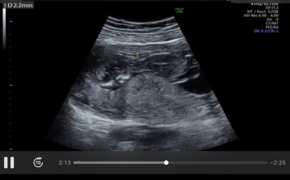
13週の検診時のエコー写真です。
先生からは何も指摘などされてませんが、高齢出産ということもあり、浮腫など気になっています。
浮腫を計ってるのでしょうか?
分かりましたら教えていただきたいです。
次回の検診は4週間後と言われています。
先生からは何も指摘などされてませんが、高齢出産ということもあり、浮腫など気になっています。
浮腫を計ってるのでしょうか?
分かりましたら教えていただきたいです。
次回の検診は4週間後と言われています。
※ 閲覧に注意が必要な画像が含まれている場合がございます。
2020/7/3 21:36
あやふさん、おはようございます。
ご質問ありがとうございます。
エコーで気になることがあるのですね。
お写真の掲載もありがとうございます。
お写真からですと、ハッキリとは分からないのですが、お子さんの身体とは別の部分を計測しているようにお見受けします。ですので、もしかすると、お子さんの周りの羊水量などを見ているのかもしれません。また、浮腫など、何か気になる所見がある場合には、必ず医師から説明があるかと思いますので、今の時点で何も指摘されていないのであれば、経過は順調とお考えいただいて問題ないと思いますよ。ハッキリとしたことが明言できず、申し訳ありませんが、もしご心配であれば、また健診の際にご確認なさってみてくださいね。
ご質問ありがとうございます。
エコーで気になることがあるのですね。
お写真の掲載もありがとうございます。
お写真からですと、ハッキリとは分からないのですが、お子さんの身体とは別の部分を計測しているようにお見受けします。ですので、もしかすると、お子さんの周りの羊水量などを見ているのかもしれません。また、浮腫など、何か気になる所見がある場合には、必ず医師から説明があるかと思いますので、今の時点で何も指摘されていないのであれば、経過は順調とお考えいただいて問題ないと思いますよ。ハッキリとしたことが明言できず、申し訳ありませんが、もしご心配であれば、また健診の際にご確認なさってみてくださいね。
2020/7/4 7:12
あやふ
妊娠15週
高塚さん、おはようございます。
丁寧な回答ありがとうございます!
良かったですー!
不安な事がありすぎて悶々としていたのですが 一安心です。
次回の検診時まで穏やかに過ごしていきたいと思います。
改めまして、ありがとうございました!
丁寧な回答ありがとうございます!
良かったですー!
不安な事がありすぎて悶々としていたのですが 一安心です。
次回の検診時まで穏やかに過ごしていきたいと思います。
改めまして、ありがとうございました!
2020/7/4 7:31
相談はこちら
\【即時回答】新機能「専門家相談AI」登場!アプリで今すぐ相談/
妊娠15週の注目相談
妊娠16週の注目相談
お腹の赤ちゃんのことの注目相談
相談はこちら
\【即時回答】新機能「専門家相談AI」登場!アプリで今すぐ相談/