閲覧数:11,852
頭が大きい子で心配です
まーちゃん
28w3dで妊婦健診に行った際に頭が大きいと言われました。助産師さんにエコーを見てもらうと水頭症の心配はなさそうと言われましたがダウン症なども不安になってきました。
16w2d
BPD 34.6mm
20w2d
BPD 48.9mm
AC 165.7mm
FL 29.9mm
24w0d
BPD 63.8mm
AC 189.7mm
FL 42.4mm
26w3d
BPD 70.9mm
AC 206.7mm
FL 44.6mm
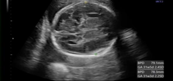
28w3d
BPD 79.1mm
AC 232.2mm
FL 49.8mm
16w2d
BPD 34.6mm
20w2d
BPD 48.9mm
AC 165.7mm
FL 29.9mm
24w0d
BPD 63.8mm
AC 189.7mm
FL 42.4mm
26w3d
BPD 70.9mm
AC 206.7mm
FL 44.6mm
28w3d
BPD 79.1mm
AC 232.2mm
FL 49.8mm
※ 閲覧に注意が必要な画像が含まれている場合がございます。
2022/6/3 11:17
まーちゃんさん、こんにちは。
ご相談いただきありがとうございます。
プラス2.0SDと言われたのですね。
心配になりましたね。
そうですね、大きめと指摘されたのですね。
現段階で脳室の拡大などがないようですから、今は経過観察なんだと思います。
もちろん個性であることが一番多いので、丁寧に経過を見ていきましょうね。
ご相談いただきありがとうございます。
プラス2.0SDと言われたのですね。
心配になりましたね。
そうですね、大きめと指摘されたのですね。
現段階で脳室の拡大などがないようですから、今は経過観察なんだと思います。
もちろん個性であることが一番多いので、丁寧に経過を見ていきましょうね。
2022/6/4 14:25
まーちゃん
妊娠28週
ありがとうございます。
次の検診で改めて問題がないのか聞いてみたいと思います。
次の検診で改めて問題がないのか聞いてみたいと思います。
2022/6/4 21:51
\【即時回答】新機能「専門家相談AI」登場!アプリで今すぐ相談/
相談はこちら
妊娠28週の注目相談
妊娠29週の注目相談
お腹の赤ちゃんのことの注目相談
\【即時回答】新機能「専門家相談AI」登場!アプリで今すぐ相談/
相談はこちら