閲覧数:1,918
赤ちゃんの性別
kohaku
初めまして(^^)今日1ヶ月検診に行ってエコーで赤ちゃんをみてきました(^^)
前回のエコー検査で「あー女の子っぽいね〜」って言われたんですけど女の子と言われていてもおちんちんが隠れていてって事もあるみたいで(O_O)
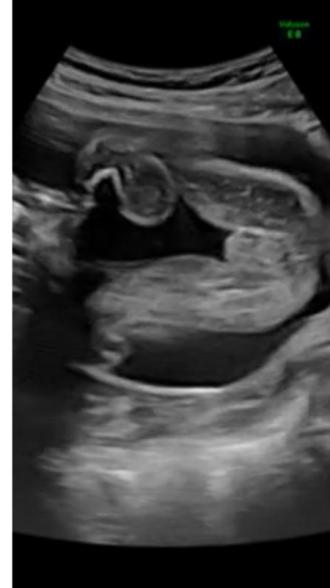
今日のエコーで股の所が写ったけれど自分ではイマイチわかりません(*_*)
しかも先生にも聞けなくて写真があるので分かったら教えていただきたいです^_^
前回のエコー検査で「あー女の子っぽいね〜」って言われたんですけど女の子と言われていてもおちんちんが隠れていてって事もあるみたいで(O_O)
今日のエコーで股の所が写ったけれど自分ではイマイチわかりません(*_*)
しかも先生にも聞けなくて写真があるので分かったら教えていただきたいです^_^
※ 閲覧に注意が必要な画像が含まれている場合がございます。
2021/12/4 12:40
kohakuさん、こんばんは
助産師の宮川です。
ご相談をどうもありがとうございます。
お腹の赤ちゃんのエコーについてですね。
足を開いているような様子ですので、隠していることもなさそうかなと思います。
先生がお話しされていたように、女の子なのかなと思いました。
また次回の健診のさいに確認をしてみてください。
どうぞよろしくお願いします。
助産師の宮川です。
ご相談をどうもありがとうございます。
お腹の赤ちゃんのエコーについてですね。
足を開いているような様子ですので、隠していることもなさそうかなと思います。
先生がお話しされていたように、女の子なのかなと思いました。
また次回の健診のさいに確認をしてみてください。
どうぞよろしくお願いします。
2021/12/4 22:16
kohaku
妊娠24週
返事ありがとうございます(^^)
家族に女の子と伝えて凄く喜んでいたので違ったらと少し不安になっていました^_^
次回また聞いてみます^ ^
ありがとうございました(^ ^)
家族に女の子と伝えて凄く喜んでいたので違ったらと少し不安になっていました^_^
次回また聞いてみます^ ^
ありがとうございました(^ ^)
2021/12/4 22:32
\【即時回答】新機能「専門家相談AI」登場!アプリで今すぐ相談/
相談はこちら
妊娠24週の注目相談
妊娠25週の注目相談
お腹の赤ちゃんのことの注目相談
\【即時回答】新機能「専門家相談AI」登場!アプリで今すぐ相談/
相談はこちら