閲覧数:222
出血について
きょん汰
現在おそらく妊娠8wの妊婦です。
先日も相談させて頂いたのてすが、出血が続いており再度ご相談させて頂きたいです。
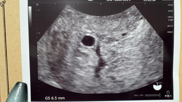
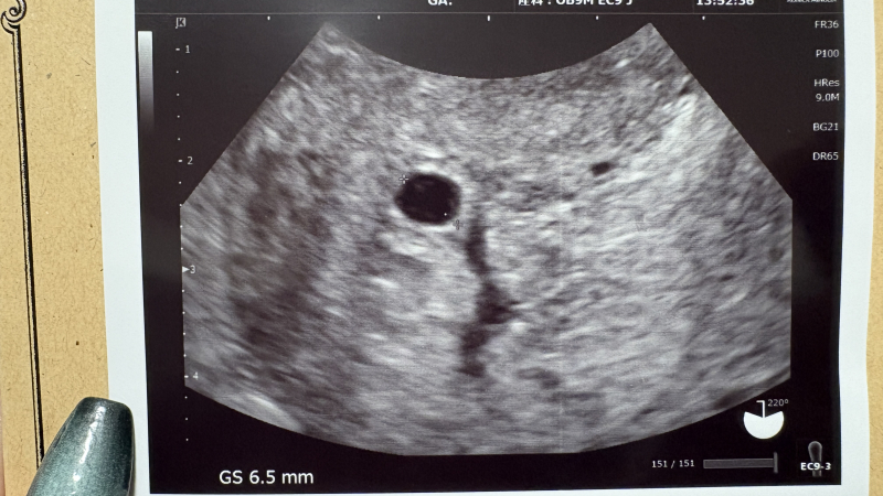
6w5dに産婦人科に行ったところGS6.5mm空っぽの胎嚢のみの確認で2週間後にもう1度来るよう案内がありました。
7w4dからおりものに混じった鮮血がトイレの時ティッシュに付くようになり、日に日に出血も増えています。(現在はおりものシートにも少し血や米粒程度の塊が付く程度)
今の所ナプキンが必要なほどの出血ではなく特に腹痛や腰痛も感じてはいないのですが病院を受診するべきでしょうか?
再診の日まであと6日ほどなのでこの程度の出血なら様子見で良いのでしょうか?
つわりも1人目の時はもっと辛かったし、出血する前までは匂いで少し気分が悪くなっていたのに今はなんだか落ち着いてきているような気がして…
やはりこのまま流産してしまうのでしょうか?
先日も相談させて頂いたのてすが、出血が続いており再度ご相談させて頂きたいです。
6w5dに産婦人科に行ったところGS6.5mm空っぽの胎嚢のみの確認で2週間後にもう1度来るよう案内がありました。
7w4dからおりものに混じった鮮血がトイレの時ティッシュに付くようになり、日に日に出血も増えています。(現在はおりものシートにも少し血や米粒程度の塊が付く程度)
今の所ナプキンが必要なほどの出血ではなく特に腹痛や腰痛も感じてはいないのですが病院を受診するべきでしょうか?
再診の日まであと6日ほどなのでこの程度の出血なら様子見で良いのでしょうか?
つわりも1人目の時はもっと辛かったし、出血する前までは匂いで少し気分が悪くなっていたのに今はなんだか落ち着いてきているような気がして…
やはりこのまま流産してしまうのでしょうか?
※ 閲覧に注意が必要な画像が含まれている場合がございます。
2026/3/28 1:41
きょん汰さん、こんにちは。
ご相談ありがとうございます。
出血が続いていてご心配なのですね。
お答えが遅くなり申し訳ありません。
鮮血の出血が増えてきていることがご心配なのですね。
妊娠初期の出血はよく見られますが、どの程度の出血が大丈夫な範囲なのか分からないですし、流産の兆候ではないかとご心配ですよね。
実際に拝見していませんので、はっきりとしたことは明言できませんが、一般的には、進行する流産の場合には、お腹が痛くなったり、鮮血の出血が増えてくることが多いです。お腹の痛みが落ち着いているようですし、量も少量なのであれば、少しご様子を見ていただいて良いかと思いますよ。今の週数ですと、赤ちゃんの生きる力を信じるしかない時期ですが、生理痛のような痛みや出血が増えて来ないか、しばらく注意深くみていってくださいね。ご心配があれば、おかかりつけの産婦人科でご相談なさってくださいね。
ご相談ありがとうございます。
出血が続いていてご心配なのですね。
お答えが遅くなり申し訳ありません。
鮮血の出血が増えてきていることがご心配なのですね。
妊娠初期の出血はよく見られますが、どの程度の出血が大丈夫な範囲なのか分からないですし、流産の兆候ではないかとご心配ですよね。
実際に拝見していませんので、はっきりとしたことは明言できませんが、一般的には、進行する流産の場合には、お腹が痛くなったり、鮮血の出血が増えてくることが多いです。お腹の痛みが落ち着いているようですし、量も少量なのであれば、少しご様子を見ていただいて良いかと思いますよ。今の週数ですと、赤ちゃんの生きる力を信じるしかない時期ですが、生理痛のような痛みや出血が増えて来ないか、しばらく注意深くみていってくださいね。ご心配があれば、おかかりつけの産婦人科でご相談なさってくださいね。
2026/3/29 16:30
きょん汰
0歳9カ月
出血が増えていて、前日から腹痛もあり本日少し早めに産婦人科を受診したところ、胎嚢の成長もほぼ止まっており心拍も確認出来ない事もあり進行流産と診断されました。
ご回答ありがとうございました!
ご回答ありがとうございました!
2026/3/30 16:52
\【即時回答】新機能「専門家相談AI」登場!アプリで今すぐ相談/
相談はこちら
0歳9カ月の注目相談
0歳10カ月の注目相談
お腹の赤ちゃんのことの注目相談
\【即時回答】新機能「専門家相談AI」登場!アプリで今すぐ相談/
相談はこちら