閲覧数:480
34w赤ちゃんが大きい
ayasuke
34w4d妊婦健診に行ってきました。
これまでも大きめとは言われていましたが、今日先生からちょっと大きすぎるので来週糖の検査をしましょうとなりました。
これまでも2回糖の検査を受けましたが問題なく、私自身の体重も大幅に増えてはいません。
エコーの結果は以下です。
32w4d
BPD 87.9
AC 293.5
FL 68.0
EFW 2484g
34w4d
BPD 96.4
AC 314.9
FL 68.8
EFW 3005g
推定数値なのは承知ですが、すでに3000g超えており
BPDに関してはOORの表記でした…
色々調べるとダウン症や水頭症の疑いもあるようで
不安で仕方がありません。
先生からはそういった病気の疑いがあるなどは
全く言われていません。
私も旦那も3600gほどで生まれているので
単に遺伝の可能性もあるのかなと前向きに考えておりますが…
全体的に大きめですが、体のバランス的に
ダウン症や水頭症の可能性はあるものでしょうか…
参考程度にご回答いただければと思います😢
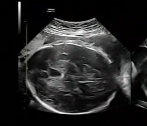
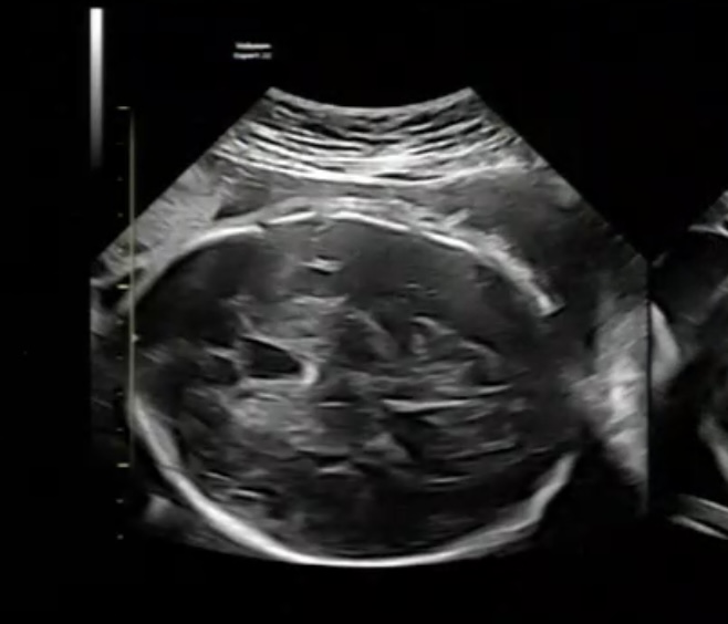
念の為、脳のエコー写真を添付します。
これまでも大きめとは言われていましたが、今日先生からちょっと大きすぎるので来週糖の検査をしましょうとなりました。
これまでも2回糖の検査を受けましたが問題なく、私自身の体重も大幅に増えてはいません。
エコーの結果は以下です。
32w4d
BPD 87.9
AC 293.5
FL 68.0
EFW 2484g
34w4d
BPD 96.4
AC 314.9
FL 68.8
EFW 3005g
推定数値なのは承知ですが、すでに3000g超えており
BPDに関してはOORの表記でした…
色々調べるとダウン症や水頭症の疑いもあるようで
不安で仕方がありません。
先生からはそういった病気の疑いがあるなどは
全く言われていません。
私も旦那も3600gほどで生まれているので
単に遺伝の可能性もあるのかなと前向きに考えておりますが…
全体的に大きめですが、体のバランス的に
ダウン症や水頭症の可能性はあるものでしょうか…
参考程度にご回答いただければと思います😢
念の為、脳のエコー写真を添付します。
※ 閲覧に注意が必要な画像が含まれている場合がございます。
2026/3/6 11:44
ayasukeさん、こんにちは。
ご相談ありがとうございます。
お子さんが大きめと言われたことがご心配なのですね。
お答えが遅くなり申し訳ありません。
赤ちゃんの発育は、個人差が大きいですね。赤ちゃんの大きさは、ママさんの子宮の大きさや、胎盤と臍の緒の位置などによっても、かなり差が出てきます。
また、おっしゃるように、大きめで生まれたパパさんやママさんですと、大きめになるケースもあったりします。
確かに、赤ちゃんがとても大きい場合には、出て来るのに時間がかかるケースもありますが、帝王切開の適応になる場合なども含めて、ママさんの骨盤の大きさと赤ちゃんの大きさのバランスが良ければ、問題になることはあまりありません。
今の時点では、まだ分娩方法にまで影響があるかどうかは判断できませんが、これからの時期は、赤ちゃんの身体の機能はほぼほぼ完成していて、皮下脂肪などがついてくる時期になりますので、ママさんも適度にストレッチやウォーキングなど、日常的にできる運動などを取り入れていただくといいかもしれませんね。
赤ちゃんが大きくなる原因には、ママさんの糖尿病があったりする場合も多いのですが、そちらの方は今までは特に問題ないということでしたら、再度検査を受けられて、経過を見ていただければいいように思いますよ。またご心配があれば、担当医にもご確認くださいね。
ご相談ありがとうございます。
お子さんが大きめと言われたことがご心配なのですね。
お答えが遅くなり申し訳ありません。
赤ちゃんの発育は、個人差が大きいですね。赤ちゃんの大きさは、ママさんの子宮の大きさや、胎盤と臍の緒の位置などによっても、かなり差が出てきます。
また、おっしゃるように、大きめで生まれたパパさんやママさんですと、大きめになるケースもあったりします。
確かに、赤ちゃんがとても大きい場合には、出て来るのに時間がかかるケースもありますが、帝王切開の適応になる場合なども含めて、ママさんの骨盤の大きさと赤ちゃんの大きさのバランスが良ければ、問題になることはあまりありません。
今の時点では、まだ分娩方法にまで影響があるかどうかは判断できませんが、これからの時期は、赤ちゃんの身体の機能はほぼほぼ完成していて、皮下脂肪などがついてくる時期になりますので、ママさんも適度にストレッチやウォーキングなど、日常的にできる運動などを取り入れていただくといいかもしれませんね。
赤ちゃんが大きくなる原因には、ママさんの糖尿病があったりする場合も多いのですが、そちらの方は今までは特に問題ないということでしたら、再度検査を受けられて、経過を見ていただければいいように思いますよ。またご心配があれば、担当医にもご確認くださいね。
2026/3/7 20:35
\【即時回答】新機能「専門家相談AI」登場!アプリで今すぐ相談/
相談はこちら
妊娠34週の注目相談
妊娠35週の注目相談
お腹の赤ちゃんのことの注目相談
\【即時回答】新機能「専門家相談AI」登場!アプリで今すぐ相談/
相談はこちら