閲覧数:282
絨毛膜下血腫
ちゃん
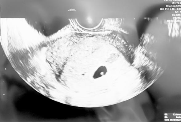
2/18時点で、5w4dです。初診に行き、絨毛膜下血腫と言われました。心拍確認前です。なにかこれからに影響があるのか、不安です。エコー写真で言う、どこの部分を指すんでしょうか。右の影でしょうか。それとも左の黒い丸でしょうか。旦那は右って言ってたと言ってますが、その際に私にはエコー写真が見えなかったので本当か分かりません。また、大きさや場所、なにか可能性のある事など、大丈夫なのか教えて頂きたいです。よろしくお願いいたします。
※ 閲覧に注意が必要な画像が含まれている場合がございます。
2026/2/18 21:05
ちゃんさん、こんばんは。
ご相談ありがとうございます。
絨毛膜下血腫と診断されご心配なのですね。
お答えが遅くなり申し訳ありません。
一般的には、血腫は妊娠初期に起こります。受精卵が着床して、妊娠が成立すると、絨毛と呼ばれる組織を子宮内膜へ伸ばして根を張り、胎盤を作る作業を行います。ですが、何らかの原因で、子宮内側の脱落膜と、絨毛が発育してできた絨毛膜との間に出血が起こってしまうことがあります。エコーで、出血の溜まりがみられれば、絨毛膜下血腫と診断されます。
絨毛膜下血腫の場合には、血腫の出来ている位置や大きさによっても、安静度や期間が異なるかと思います。絨毛膜下血腫の場合には、子宮の中の一部分に出血が溜まってしまっている状態であり、その溜まっている出血が排出されたり、吸収されたりすることで小さくなってきます。ですので、出血が溜まっている間は、断続的に出血する可能性があります。
実際にエコーを拝見していませんので、お写真からですと、どの部分ということはなかなかはっきりとは明言できませんが、この時期には、なかなか積極的な治療をすることも難しく、とにかく安静にしていただき、血腫が小さくなるのを待つという方法になることが多いように思います。
突然のことでご心配もありますよね。ですが、精神的なストレスから、お腹が張りやすくなってしまうこともありますので、医師の指示があるまでは、とにかく安静にしていただいて、ご様子を見られてくださいね。また、ご心配な時には、お電話でも、おかかりつけの産婦人科の指示を仰いでもいいかと思いますよ。 どうぞお大事になさってくださいね。
ご相談ありがとうございます。
絨毛膜下血腫と診断されご心配なのですね。
お答えが遅くなり申し訳ありません。
一般的には、血腫は妊娠初期に起こります。受精卵が着床して、妊娠が成立すると、絨毛と呼ばれる組織を子宮内膜へ伸ばして根を張り、胎盤を作る作業を行います。ですが、何らかの原因で、子宮内側の脱落膜と、絨毛が発育してできた絨毛膜との間に出血が起こってしまうことがあります。エコーで、出血の溜まりがみられれば、絨毛膜下血腫と診断されます。
絨毛膜下血腫の場合には、血腫の出来ている位置や大きさによっても、安静度や期間が異なるかと思います。絨毛膜下血腫の場合には、子宮の中の一部分に出血が溜まってしまっている状態であり、その溜まっている出血が排出されたり、吸収されたりすることで小さくなってきます。ですので、出血が溜まっている間は、断続的に出血する可能性があります。
実際にエコーを拝見していませんので、お写真からですと、どの部分ということはなかなかはっきりとは明言できませんが、この時期には、なかなか積極的な治療をすることも難しく、とにかく安静にしていただき、血腫が小さくなるのを待つという方法になることが多いように思います。
突然のことでご心配もありますよね。ですが、精神的なストレスから、お腹が張りやすくなってしまうこともありますので、医師の指示があるまでは、とにかく安静にしていただいて、ご様子を見られてくださいね。また、ご心配な時には、お電話でも、おかかりつけの産婦人科の指示を仰いでもいいかと思いますよ。 どうぞお大事になさってくださいね。
2026/2/20 0:44
ちゃん
妊娠6週
ご回答ありがとうございます。
胎嚢の右に映っているやつです。
なんで、モヤッとしたグレー?白?っぽい色なんでしょうか?大丈夫なんでしょうか。
胎嚢の右に映っているやつです。
なんで、モヤッとしたグレー?白?っぽい色なんでしょうか?大丈夫なんでしょうか。
2026/2/20 12:10
ちゃんさん、お返事ありがとうございます。
出血はグレーっぽく写ることもあるかもしれませんね。大きくなってきたりすることがなければ、経過を見ていただくことになると思いますよ。
出血はグレーっぽく写ることもあるかもしれませんね。大きくなってきたりすることがなければ、経過を見ていただくことになると思いますよ。
2026/2/21 23:15
\【即時回答】新機能「専門家相談AI」登場!アプリで今すぐ相談/
相談はこちら
妊娠6週の注目相談
妊娠7週の注目相談
妊娠中の体調の注目相談
\【即時回答】新機能「専門家相談AI」登場!アプリで今すぐ相談/
相談はこちら