閲覧数:615
エコー写真について
かなぴ
初めまして。
妊娠5週6日目(最終月経日による計算では)
先日、妊娠検査薬で陽性反応、産婦人科で胎嚢確認できました。
心拍、胎芽はまだだったので、2週間後の受診予定です。
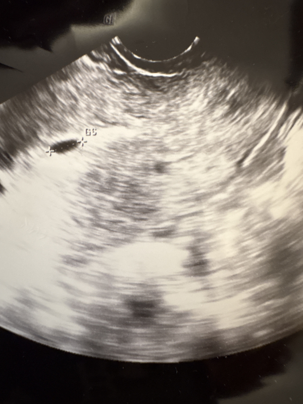
エコー写真に写っている胎嚢の位置、大きさ問題ないでしょうか?
大きさは8.6mmでした。
妊娠5週6日目(最終月経日による計算では)
先日、妊娠検査薬で陽性反応、産婦人科で胎嚢確認できました。
心拍、胎芽はまだだったので、2週間後の受診予定です。
エコー写真に写っている胎嚢の位置、大きさ問題ないでしょうか?
大きさは8.6mmでした。
※ 閲覧に注意が必要な画像が含まれている場合がございます。
2026/1/27 16:58
かなぴさん、こんにちは。
ご相談ありがとうございます。
胎嚢が確認できたのですね。
妊娠5週で胎嚢を確認なさったのですね。初期の妊娠週数はずれていることも多いですし、お写真からですと、なかなかはっきりとしたことは明言できませんが、特に医師から何も異常の指摘がなかったのであれば、今は順調な経過と思っていただいていいと思います。
妊娠5~8週の場合、「胎嚢最大径(cm)=妊娠週数-4」という数値が一つの目安になります。
たとえば、妊娠5週頃であれば胎嚢の大きさはおおよそ1cmほどと言われます。ですので、おおよそ週数通りの発育をしていると思いますよ。
ご相談ありがとうございます。
胎嚢が確認できたのですね。
妊娠5週で胎嚢を確認なさったのですね。初期の妊娠週数はずれていることも多いですし、お写真からですと、なかなかはっきりとしたことは明言できませんが、特に医師から何も異常の指摘がなかったのであれば、今は順調な経過と思っていただいていいと思います。
妊娠5~8週の場合、「胎嚢最大径(cm)=妊娠週数-4」という数値が一つの目安になります。
たとえば、妊娠5週頃であれば胎嚢の大きさはおおよそ1cmほどと言われます。ですので、おおよそ週数通りの発育をしていると思いますよ。
2026/1/28 14:35
かなぴ
妊娠6週
ありがとうございます。
ただ出血が1/27から続いていて
前に初期の流産を経験している分
不安で仕方ありません。
ただ以前と違うのは
出血の量が少ないということと
出たり止まったりを繰り返している、
下腹部痛がないということです。
まだ望みはありますか?
ただ出血が1/27から続いていて
前に初期の流産を経験している分
不安で仕方ありません。
ただ以前と違うのは
出血の量が少ないということと
出たり止まったりを繰り返している、
下腹部痛がないということです。
まだ望みはありますか?
2026/1/28 20:06
かなぴさん、お返事ありがとうございます。
出血が続いていれば、ご心配になりますよね。お気持ちよく分かりますよ。
ですが、進行する流産の場合には、お腹が生理痛のように痛くなったり、鮮血の出血が増えてくることが多いです。今そのような症状がないのであれば、それほど急を要するような状態ではないと思いますよ。
出血が続いていれば、ご心配になりますよね。お気持ちよく分かりますよ。
ですが、進行する流産の場合には、お腹が生理痛のように痛くなったり、鮮血の出血が増えてくることが多いです。今そのような症状がないのであれば、それほど急を要するような状態ではないと思いますよ。
2026/1/29 16:21
かなぴ
妊娠6週
ありがとうございます!
そう聞いて安心しました!
そう聞いて安心しました!
2026/1/29 19:46
\【即時回答】新機能「専門家相談AI」登場!アプリで今すぐ相談/
相談はこちら
妊娠5週の注目相談
妊娠6週の注目相談
お腹の赤ちゃんのことの注目相談
\【即時回答】新機能「専門家相談AI」登場!アプリで今すぐ相談/
相談はこちら