閲覧数:295
エコーの黒い影について
のん
現在妊娠17週。自宅で家庭用エコーを使って毎日胎児を確認しています。
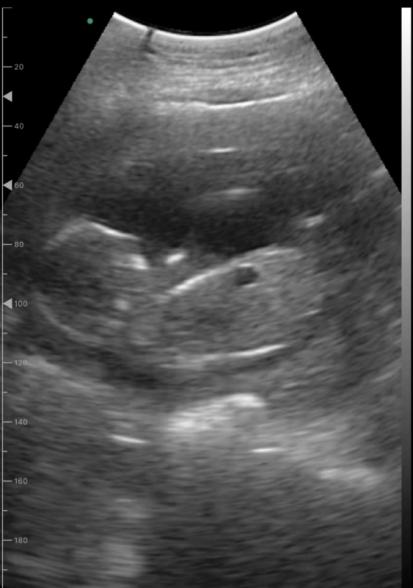
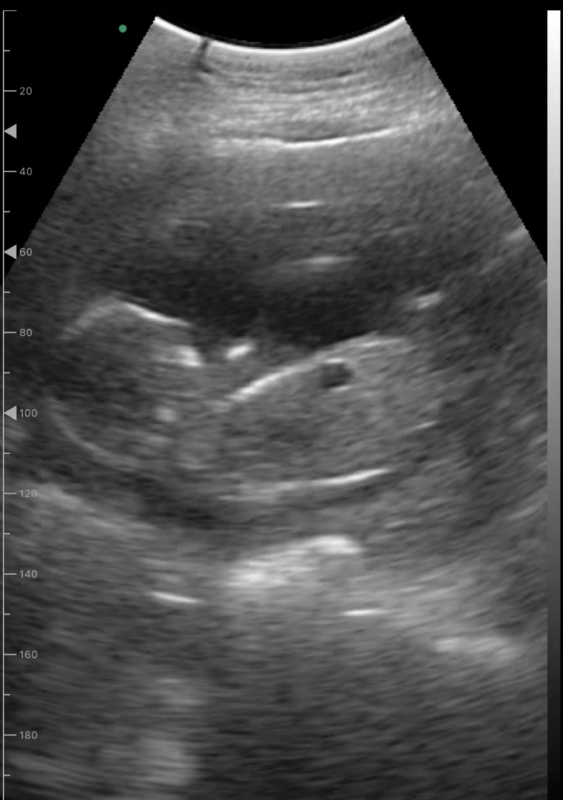
心臓が動いていることにホッとしていますが、時折写真のような黒くて丸い影が映ることがあります。今までの健診では特に指摘を受けたことはありません。次回の健診が一ヶ月後のため心配で、、。これは何か分かりますでしょうか?
心臓が動いていることにホッとしていますが、時折写真のような黒くて丸い影が映ることがあります。今までの健診では特に指摘を受けたことはありません。次回の健診が一ヶ月後のため心配で、、。これは何か分かりますでしょうか?
※ 閲覧に注意が必要な画像が含まれている場合がございます。
2025/10/30 14:55
のんさん、こんにちは。
ご相談ありがとうございます。
エコーの黒い影についてですね。
実際に拝見していませんので、はっきりとしたことは明言できませんが、もしかすると、胃や腸に見られる空気なのかもしれませんね。特に健診で何も指摘されていないのでしたら、ご心配なものではないと思いますよ。また気になるようでしたら、健診の際にでもご確認なさってくださいね。
ご相談ありがとうございます。
エコーの黒い影についてですね。
実際に拝見していませんので、はっきりとしたことは明言できませんが、もしかすると、胃や腸に見られる空気なのかもしれませんね。特に健診で何も指摘されていないのでしたら、ご心配なものではないと思いますよ。また気になるようでしたら、健診の際にでもご確認なさってくださいね。
2025/10/31 13:08
相談はこちら
妊娠17週の注目相談
妊娠18週の注目相談
お腹の赤ちゃんのことの注目相談
相談はこちら